Obstetrics First trimester
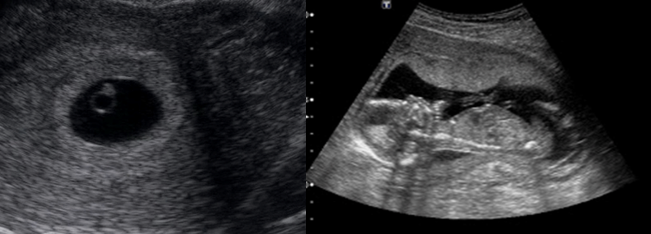
Confirm viable pregnancy: Gestational Sac (GS):
- Visible at 4-5wks GA with transvaginal US
- Visible at 6 wks GA with transabdominal US
- GS: echogenic ring with anechoic center within uterine cavity
- Measure by Mean Sac Diameter: average dimensions of width/length/height of sac
Considerations Ultrasound findings in normal pregnancy:
- In an intrauterine pregnancy at 5–6 weeks’ gestation, a gestational sac and yolk sac are visible in the uterus.
Measuring Sac VS CRL

Measuring gestational age at second & third trimester
