Ovarian cysts
-
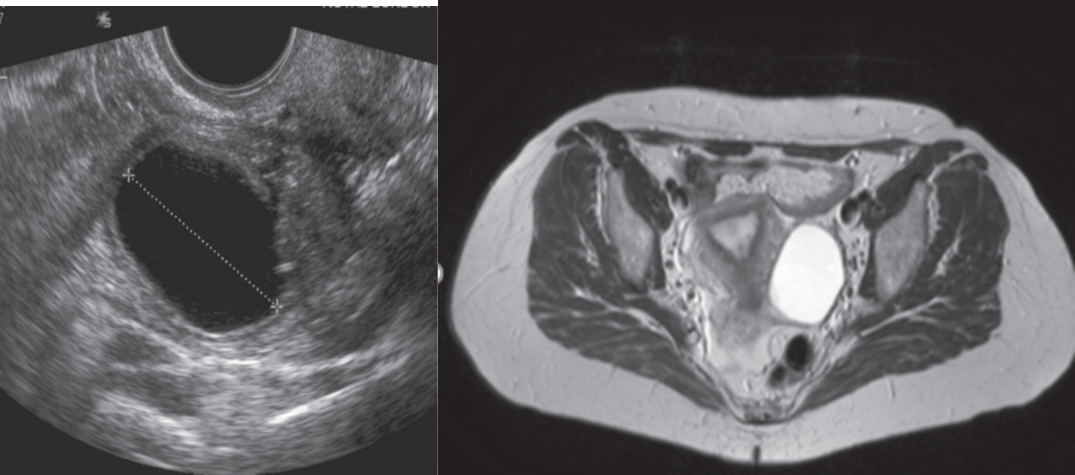
Sometimes a follicle or corpus luteum persists as a follicular or corpus luteum cyst, both of which are easily recognized by ultrasound, CT or MRI.
-
Follicular cysts are mostly asymptomatic and regress spontaneously.
-
Corpus luteum cysts are most often seen in the first trimester of pregnancy; they usually resolve, but may rupture or twist.
