There should be 10 or more cyst, enlarge ovaries. These patients present with hirsutism, obesity, infertility, irregular menstruation and acne etc.
typical features of polycystic ovaries on ultrasound or MRI
include large volume ovaries with multiple small follicles arranged around the periphery, forming the appearance of a ‘string of pearls’

Polycystic ovary. Axial T2-weighted MRI
demonstrating a left ovary which is large in size and has multiple small cysts arranged around the periphery of the ovary, in a characteristic ‘string of pearls’ distribution

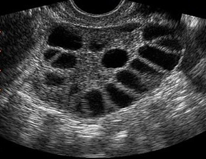
Transvaginal ultrasound of the right and left ovary:
-
both ovaries contain multiple anechoic, subcapsular cysts with a “string of pearls” appearance and posterior acoustic enhancement. There is a relative increase of stromal tissue and capsule thickness with increased ovarian size.
-
increased ovarian size (marked in green). This is a typical finding in polycystic ovary syndrome.
