🩺 MedAtlax
Search
Search
Dark mode
Light mode
Reader mode
Explorer
Home
❯
Clinical
❯
Level 8
❯
Medical Imaging
❯
Topics
❯
10 Imaging of Female Reproductive System
❯
Post menopausal endometrium
Post menopausal endometrium
Mar 25, 2024
1 min read
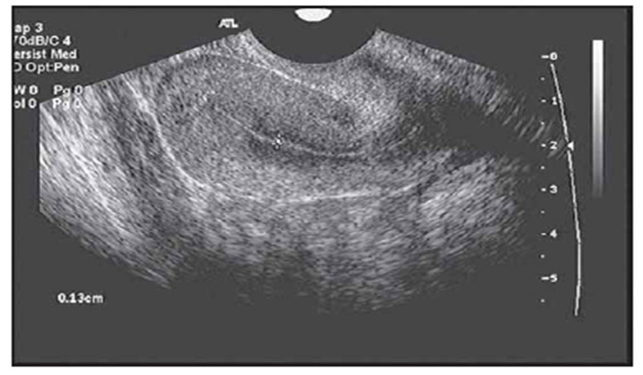
In
postmenopausal
women
endometrial thickening more than 5 mm
is considered abnormal
Graph View
Backlinks
Ultrasound of Female Reproductive System