Imaging
Refers to the implantation of a fertilized ovum outside of the uterine cavity.
The ultrasound exam should be performed both transabdominal and transvaginally.
Transvaginal ultrasound (TVUS) is the best initial imaging test for determining the location of the pregnancy.
The most reliable sign of ectopic pregnancy is the visualization of an extra-uterine gestation.
Supportive Transvaginal ultrasound (TVUS) findings
- Empty uterine cavity in combination with a thickened endometrial lining.
- Possible free fluid within the pouch of Douglas (unspecific)
- Additional findings in tubal pregnancy
- Possible extraovarian adnexal mass
- Tubal ring sign (blob sign): an echogenic ring that surrounds an unruptured ectopic pregnancy
Clinical presentation:
The classic presentation is with amenorrhea, abdominal pain and bleeding.
Risk factors:
in vitro fertilization , prior ectopic pregnancy , tubal injury or surgery, including tubal ligation .pelvic inflammatory disease.
A gestational sac containing an embryo
is seen during adnexal imaging. The uterus is not visible on this image.

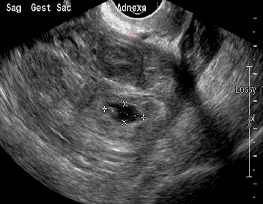
Normal Intrauterine Pregnancy

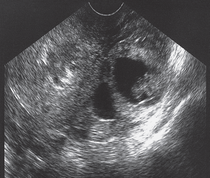
Ectopic pregnancy.
Transvaginal scan in a patient whose pregnancy test was positive. The uterus is seen containing no gestational sac and there is a predominantly cystic adnexal mass containing a fetal echo surrounded by amniotic fluid.

Blob sign of ectopic pregnancy Ultrasound pelvis (transvaginal)
- In the right adnexa, an ectopic pregnancy is visible as a rounded mass (blob sign).
- A small hyperechoic linear structure located centrally within the endometrial cavity represents the visible portion of an IUD
