considered a type of uterine duplication anomaly.
Hysterosalpingogram
A divided uterus can be seen. An angle of less than 75° between the uterine horns is suggestive of a septate uterus.

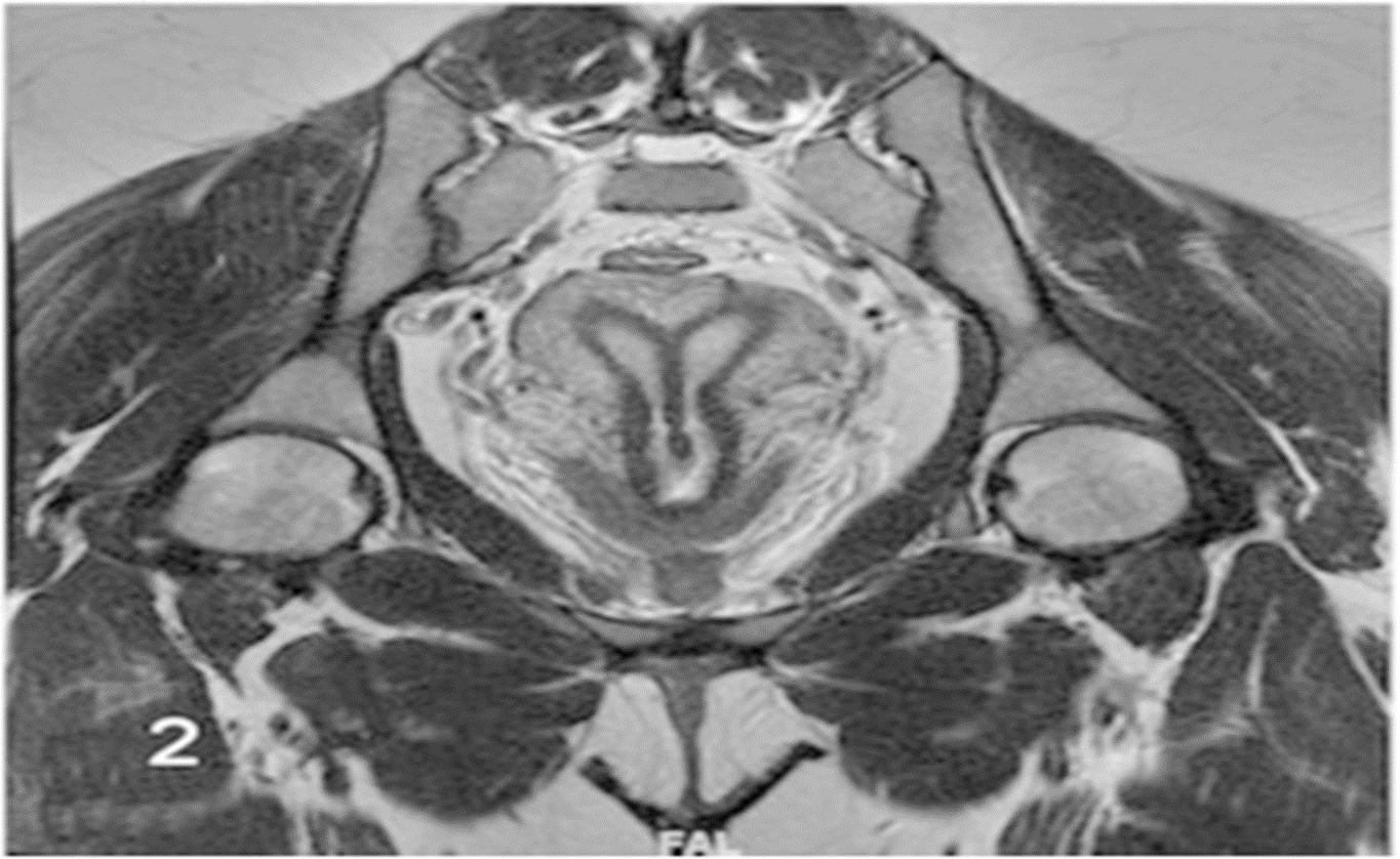
Axial MRI .
The endometrial cavity is divided into two compartments by a septum of myometrium

(2) MRI; T-2 weighted; coronal plane: septate uterus
