Painless accumulation of fluid in a sac around one or both testicles between the layers of the tunica vaginalis.
Causes
- Idiopathic (most common)
- Congenital
- Acquired: Secondary to underlying pathology
- (e.g., trauma, tumor, torsion, infection)
Clinical features
- Painless swelling of affected scrotum
- May be present since infancy or childhood
- Positive transillumination
Diagnosis:
- Usually a clinical diagnosis
- Ultrasound: Anechoic fluid confirms the diagnosis.

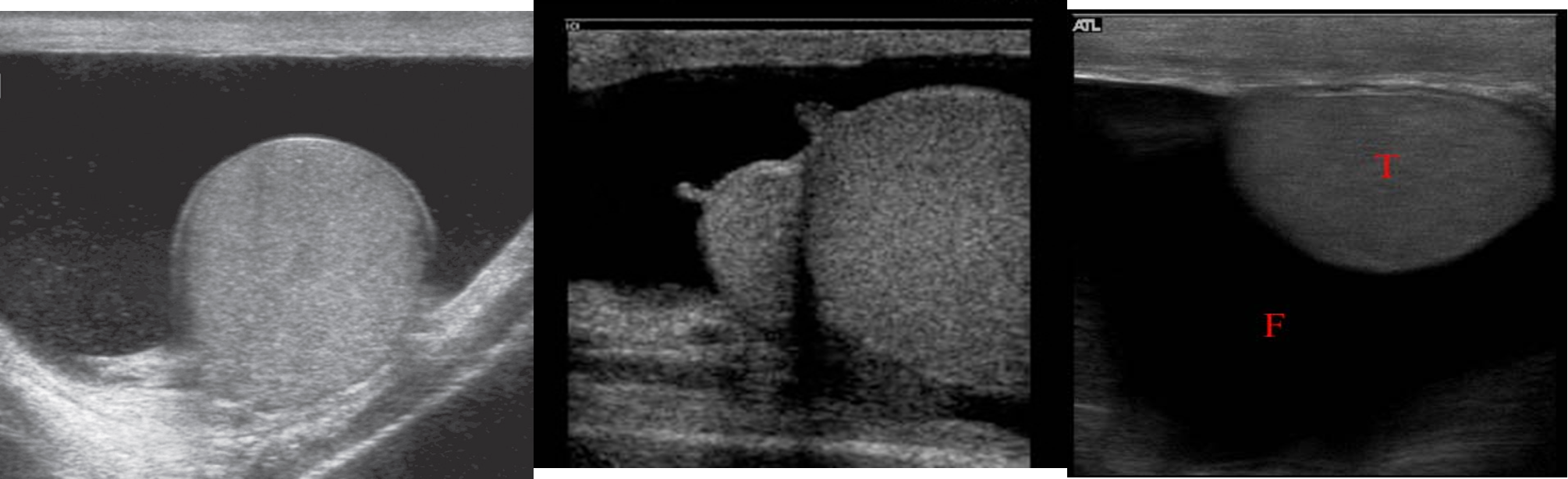
Simple Hydrocele
A hydrocoele is demonstrated surrounding an otherwise normal testis .

Reactive Hydrocele due to epididymitis

COMPLEX HYDROCELE
