Ultrasound
cannot distinguish benign from malignant disease when confined to the prostate, except on the basis that masses in the peripheral zone are likely to be malignant and those in the central zone are more likely to be benign.
Transrectal ultrasound (TRUS)
Can show the overall size of the prostate and can diagnose relatively small masses within its substance.
Predominantly used to guide prostate biopsy.

MRI
Becoming the preferred imaging modality for suspected prostate cancer and to demonstrate extracapsular tumour spread and possible lymph node metastases.
It is used to assess early stage prostate cancer in patients being considered for radical surgery or radiotherapy
Other indication: Clinical suspicion of prostate cancer despite negative transrectal ultrasound (TRUS) or TRUS-guided biopsy.
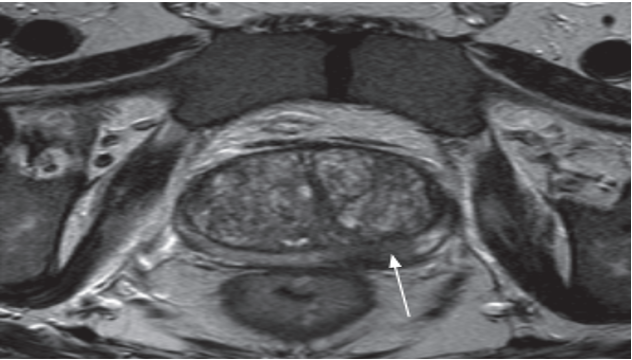
MRI of early prostate cancer. (a) T2-weighted MRI demonstrating focal low signal intensity in the left peripheral zone (arrow)

CT :
Poor for assessment of prostate zonal anatomy and pathology.
It is helpful in determining the extent of local spread as well as lymph node metastases.
PET-CT
is preferred to evaluate for prostatic metastatic disease
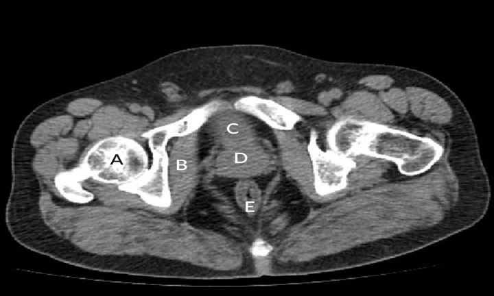
Pelvic CT
(A) Right femoral head(B) Right obturator internus muscle(C) Urinary bladder(D) Prostate(E) Rectum
