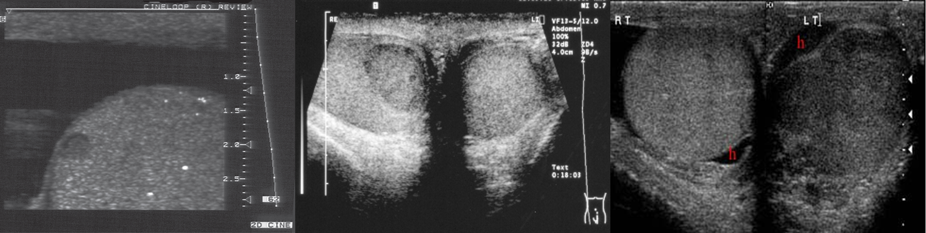
Ultrasound of a testis

demonstrating a small seminoma.

  • Several very bright echogenic specks of microcalcification are seen

Reactive Hydrocele 3rd img