Search
❯
Apr 16, 20241 min read
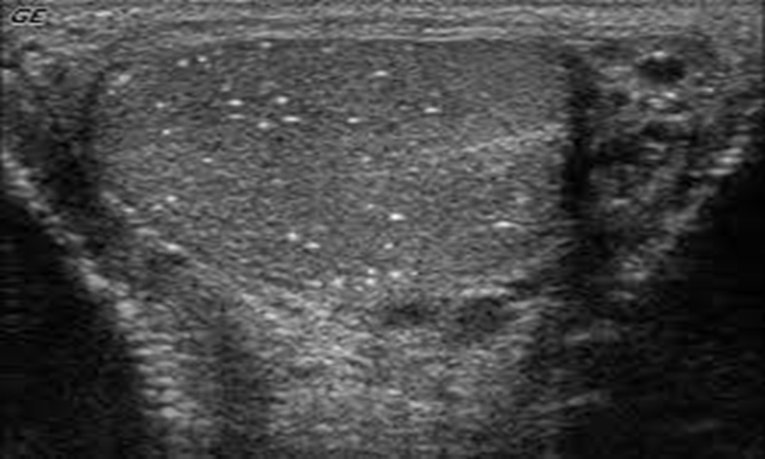
Microlithiasis appears as small non-shadowing hyperechoic foci ranging in diameter from 1-3 mm.