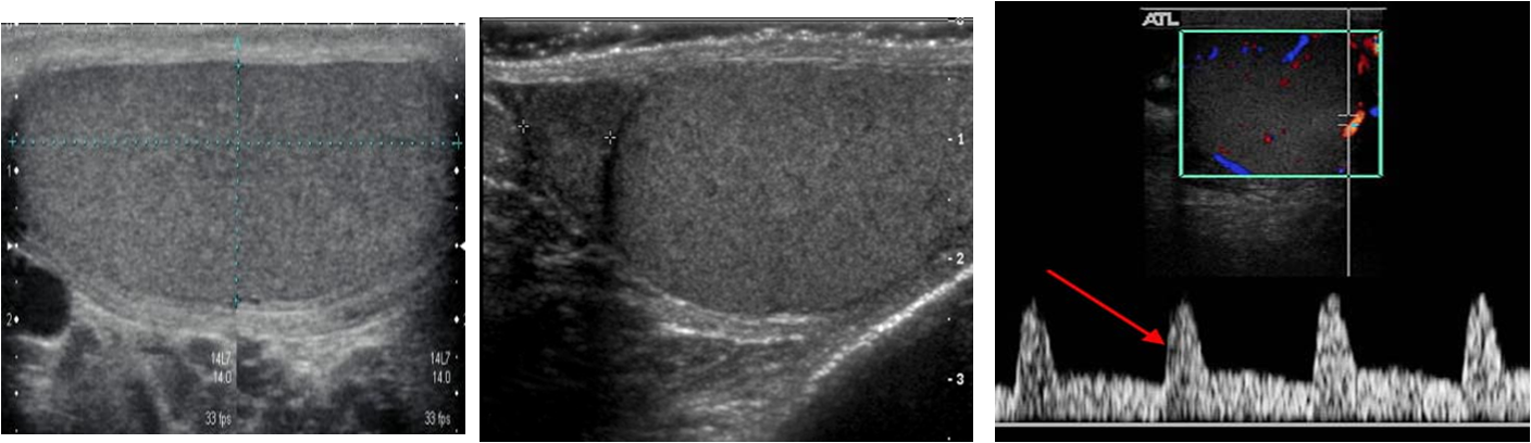
The addition of color Doppler sonography prov ides simultaneous display of morphology and blood flow.
Normal intratesticular arterial blood flow is consistently detected with power or ***color Doppler ***

The addition of color Doppler sonography prov ides simultaneous display of morphology and blood flow.
Normal intratesticular arterial blood flow is consistently detected with power or ***color Doppler ***
