CT density (HU)Brain Parenchyma 30 - 40 HU
| Hypodense | Hyperdense |
|---|---|
| CSF 0-15HU | Recent CSF 60 -90 HU |
| Brain Edema 20 HU | Calcifications >100HU |
| Cyst (? content) | Some tumors |
| Fat 10-300 HU Air 1000 HU | Protienous fluids |
![]() |


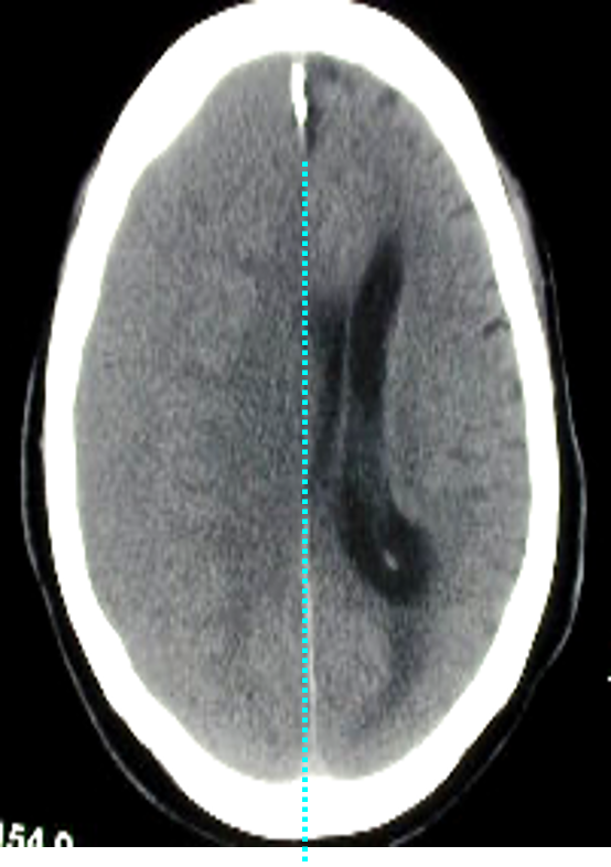
Mass effect
- Effacement of the cortical sulci
- Compression of the ventricle
- Shift of the midline structures
- Transtentorial brain herniation
**
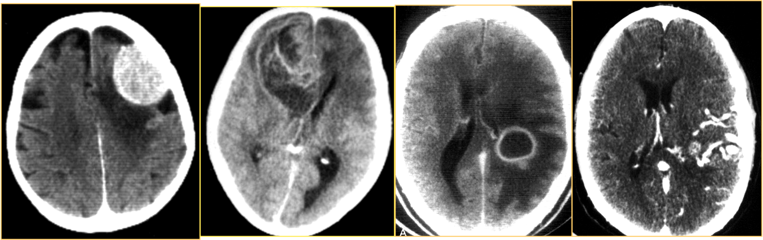
Pattern of enhancement
- Homogenous
- Heterogeneous
- Ring
- Serpiginous; arteriovenous malformation [AVM]

