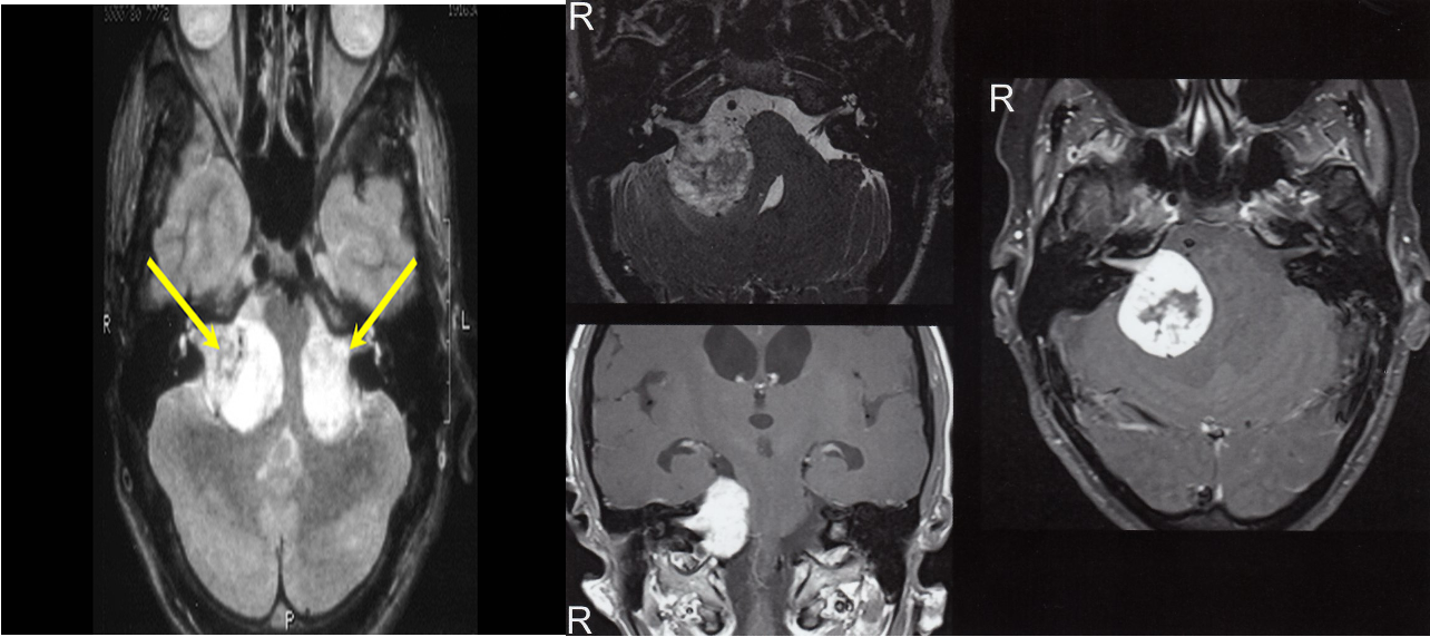
(Acoustic schwannoma, Vestibular schwannoma)
Contrast MRI (imaging modality of choice) & CT with and without contrast is an alternative for those who cannot undergo MRI.
-
Which show an enhancing lesion by the internal auditory canal, with possible extension into the cerebellopontine angle.
-
Bilateral acoustic schwannoma has a strong association with neurofibromatosis type 2

Cranial MRI, Upper left: T2-weighted image (axial view). Lower left and right: T1-weighted images after application of contrast agent (axial and coronal views). A tumor is visible on the right side between the brainstem and the cerebellum , extending into the IAC. There is strong contrast enhancement