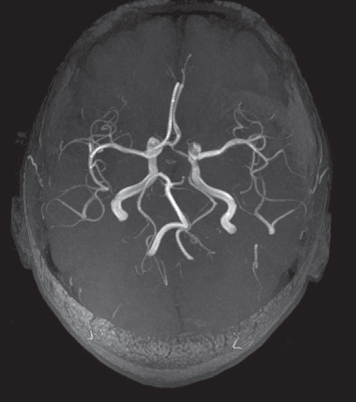
Magnetic resonance angiography (MRA)
The arteries at the base of the brain, the circle of Willis, are very well shown by MRA without the use of any contrast agent.

CT angiography (CTA)
is helpful in diagnosis of vascular diseases and abnormalities such as stenosis, occlusion or vascular malformation

Computed Tomographic Cerebral Venography (CTV)
-
Can be reliably assess intracranial venous system
-
Comparable to MR angiographic techniques Rapid and readily available
-
Using iodinated contrast material
