If there is a penetrating skull injury or a fracture involves the normally pneumatized paranasal sinuses, middle ears or mastoids, air may enter the cranium and be seen on CT as locules of very low density gas. CT can also demonstrate fluid (blood) in the sinuses and mastoid air cells or air in the orbits, suggesting a facial or skull base fracture.
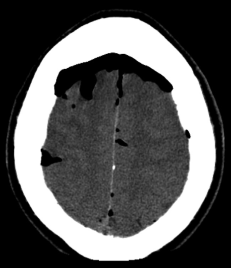
Pneumocephalus
CT scan showing low density air in the sulci of the brain from a basal skull fracture involving the sinuses.
