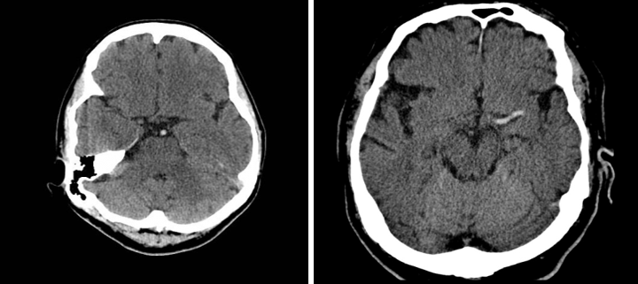
Is a hypodense lesion
- Can be acute , Subacute or chronic
- Has a vascular territory
Has a cortical distribution
Types of infacrtion
A) Acute Infarction; Hypodense lesion + edema ---β mass effect - contralateral pressure
B) Subacute Infarction; hypodense lesion, no edema -β No mass effect
C) Chronic Infarction; Hypodense lesion, no edema.loss of volume (gliosis)
β negative mass effect on the ventricle and sulci (Evaccu dilatation) - ipsilateral midline shifting

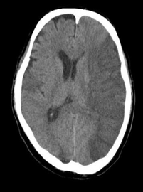
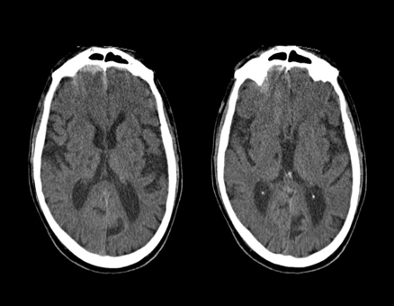
D) Special types of infarction; Lacunar infarction
Infarction that are less/smaller than 1cm
Chronic lacunar infarcts
CT head (without contrast; axial plane)
Multiple, very small, sharply-demarcated hypodense lesions are present in the basal ganglia, left internal capsule , and right thalamus . Additionally, there is diffuse cerebral atrophy with prominence of the sulci and ventricles.
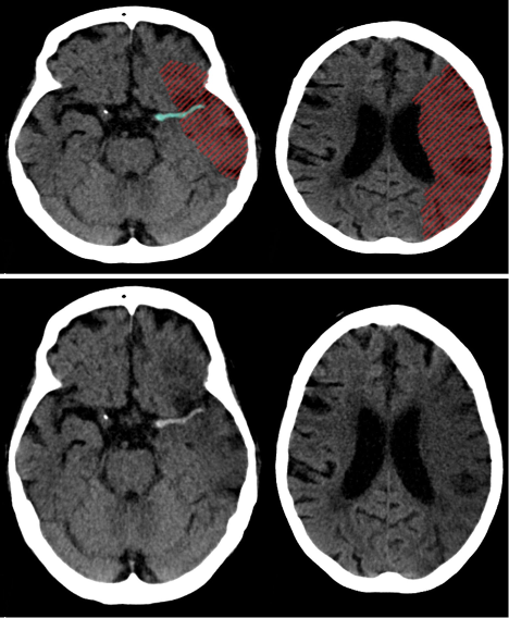
Infarction appear hypodense on CT

Cerebral infarct in the left cerebral hemisphere

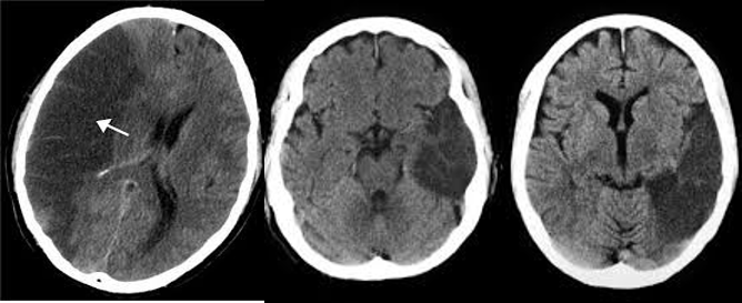
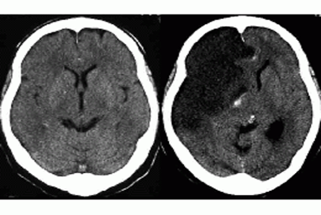
Hyperdense middle cerebral artery sign in stroke
CT head (without contrast; axial plane)
The left middle cerebral artery is hyperdense as a result of thromboembolic occlusion. Hypodensity with loss of gray-white matter differentiation in the left frontal, temporal, and parietal regions corresponds to an acute infarct in the middle cerebral artery distribution.

Dense artery sign
Dense basilar artery and middle cerebral arteries on CT
Thrombus in vessel is hyperdense relative to flowing blood

In some cases infarct is not clear initially on CT but after 48 to 72 hours itΒ becomes more apparent
