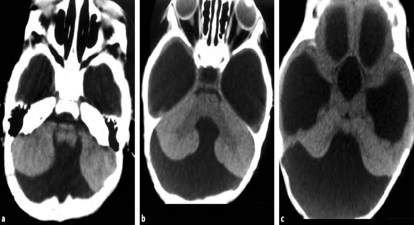
Absent cerebellar vermis. Large posterior fossa cyst communicating with fourth ventricle. Third ventricle, frontal and temporal horns of lateral ventricles are dilated.

Absent cerebellar vermis. Large posterior fossa cyst communicating with fourth ventricle. Third ventricle, frontal and temporal horns of lateral ventricles are dilated.
