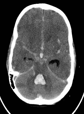
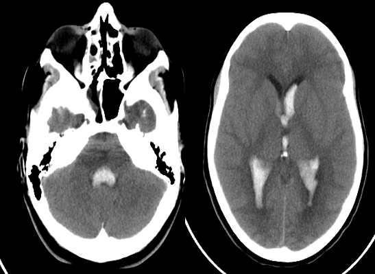
Subarachnoid and intraventricular hemorrhage

blood in 3rd and 4th ventricles hyperintense - (((with compression of lateral ventricular temporal horns
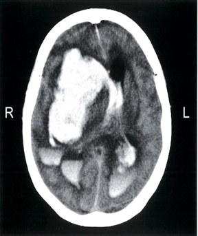
Noncontrast CT of the head (axial section)
- The large hyperdensity in the region of the right basal ganglion indicates a massive intracerebral hemorrhage that has caused a midline shift to the contralateral side. There are focal areas of cerebral edema (hypointense (black) areas) in the perihemorrhagic area. The hemorrhage has extended into the lateral ventricles ,
- Blood, being denser than CSF, has settled in the posterior horns of the lateral ventricles as these areas are dependent fluid-filled portions in the supine position.

Intra ventricular hemorrhage
