

Epidural hematoma - bi-convex shape
Sulcus - sestern
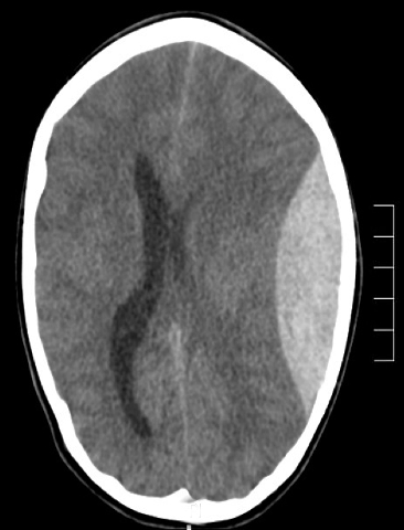
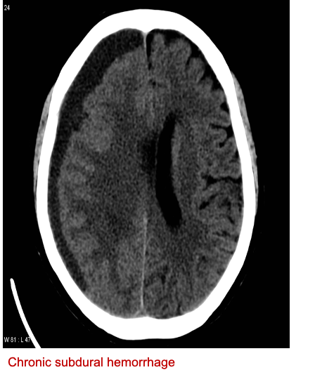
Concave esccentric in shape, ++++ hypo dense
Irregular hypotenuse Acute positive mass effect infarction vs concave
CT without contrast axial - convex - compressed ipsilateral ventricle
bone window shoes fraction
MMA vessel left /-/ contralateral shift - hypodense acute infacrtion

vasogenic = finger like