🩺 MedAtlax

Home

❯

Clinical

❯

Level 8

❯

Medical Imaging

❯

Topics

❯

12 Imaging of Skull & Brain

❯

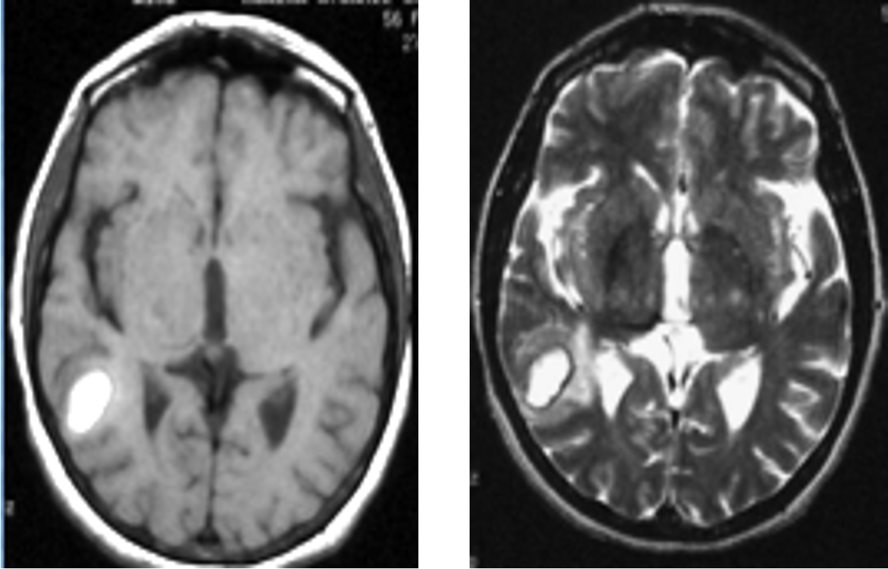
Subacute Hematoma

Subacute Hematoma


Graph View

Backlinks

  • Imaging of Skull & Brain

Created by Faisal W. Alkharji and friends with ♥️ © 2026

  • Acknowledgement
  • Resources
  • Contact us