SAH is often caused by trauma.
- Aneurysm rupture is the most common cause in non trauma patient
- Nontraumatic SAH typically manifests with sudden and severe headache, which may be accompanied by nausea, vomiting and/or acute loss of consciousness.
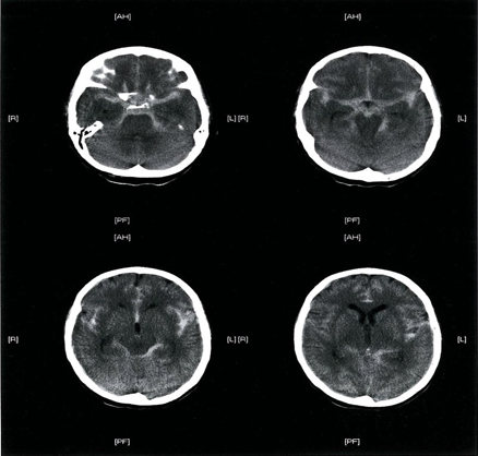
- Hyperdense CSF in the basal cisterns, sylvian fissure and subarachnoid space
Subarachnoid hemorrhage - CT head (without contrast; axial plane)
Multiple areas of high attenuation in the basal cisterns, Sylvian fissures, and sulci are characteristic of extensive subarachnoid hemorrhage.

SAH imaging
CT head without contrast for all patients with suspected acute SAH
Defining feature:
-
Blood in subarachnoid space (hyperdense) with variable extension and location.
-
CT angiography (CTA) for patients with a negative CT head who decline or have contraindications to LP
Digital subtraction angiography (DSA): Gold standard for cerebral vessel imaging to plan interventions (when CTA is insufficient) (Invasive imaging modality)
Findings:
- Visualization of aneurysms (accumulation of contrast)
- May detect extravasation of contrast in the case of active bleeding
- May detect vascular abnormalities (e.g., AVM)