Two films are printed :
- The 1st is soft tissue.
- The second is bone window

Fractures of the skull base or vault should be looked for on bone window settings
Fractures of the skull vault should not be confused with normal sutures or vascular markings.
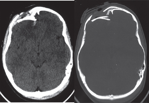
Depressed fracture. Axial unenhanced CT on (a) brain and (b) bone window settings. The depressed fracture and bone fragments are more clearly seen on the bone window settings. Such fractures may require surgical elevation.
