Sclerosis, May affect just one vertebra or may be part of a generalized process involving many bones. Common causes include the following:

1- Metastases:

particularly from primary tumours of the prostate or breast . Dense vertebra (arrow) due to metastases from carcinoma of the breast.

2- Malignant lymphoma.

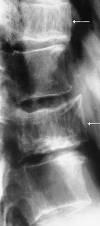
3- Paget’s disease:

This may be difficult to distinguish from neoplastic disease, but a useful diagnostic feature is expansion of the overall size of the vertebra with coarsening of the trabecular pattern in Paget’s disease. increased density and coarse trabeculae in the wider than the normal vertebral bodies (arrows)

4- Haemangioma

Vertical striations are present in this normal-sized vertebra (arrowhead).