A reduction in intervertebral height usually implies degenerative disc disease.
And may be associated with endplate sclerosis and osteophytes around the endplate margins.
A reduction in intervertebral space associated with poor visualization of the endplates may be seen in disc space infection.
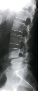
Disc space narrowing caused by disc degenerative changes between L3 and L4.
Note the osteophytes (arrows) and sclerosis of the adjoining surfaces of the vertebral bodies.

MRI lumbar spine (sagittal plane)
There is anterolisthesis of the L4 vertebral body. pondylolisthesis

X-ray lumbar spine (lateral view)
Anterior displacement of L4 on L5 is visible. In addition, there is degenerative disk disease with narrowing of the L4–L5 disk space.

Other Definitions
- Spondylosis: Degenerative changes in spine.
- Spondylolysis: Defect in the pars interarticularis
- Spondylolisthesis: Slip of one vertebral body on one below. It could be anterolisthesis or retrolisthesis. Location: usually L4/L5, L5/S1