-
Congenital anomaliesMRI
is the best modality to asses the content of spinal canal and extent of abnormalities of spinal cord.
-
CT shows excellent bone details.

Spina bifida at L5
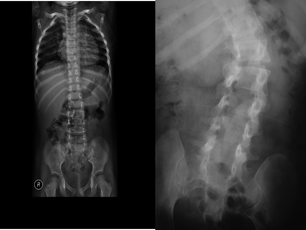
Spina bifida at multiple vertebral level/spinal dysraphism

Meningocele:
Protrusion of meninges containing CSF

Jefferson fracture, burst fracture of C1
Blows to the top of the head (axial force) can result in fractures of the lateral masses of C1.
On the* open mouth view*, this fracture is suspected if the C1 lateral masses do not line up with the lateral borders of the C2 vertebral body .

Jefferson’s fracture. (a) Plain film showing overlap of the articular pillars of C1 beyond the margins of the C2 vertebral body (dashed lines) (b) Axial CT showing the fractures of the posterior arch more clearly together with fractures of the anterior arch (arrows)
