Thyroid ultrasound:
Multiple nodules within the thyroid parenchyma.

Thyroid scintigraphy
Increased radioiodine uptake by multiple hyperfunctioning (hot) nodules.
FNAC:
Not routinely required
CT
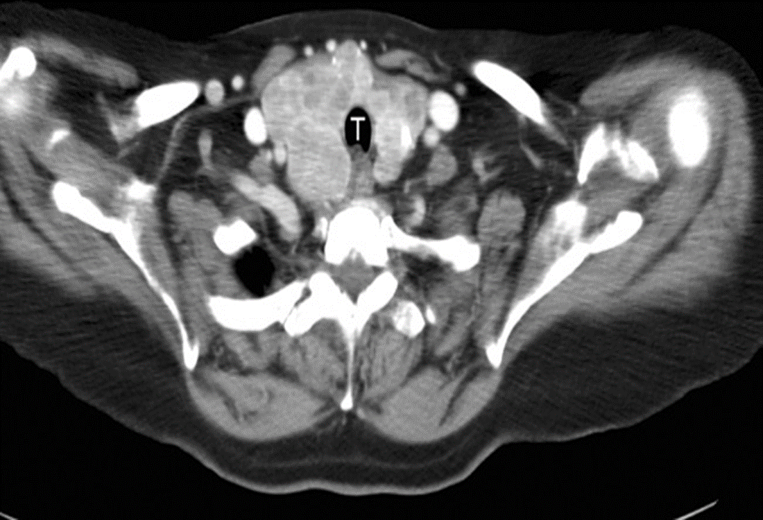
The enlarged thyroid almost surrounds the trachea (T) and enhances avidly after intravenous contrast showing many nodules of varying size.
