Normal parathyroid can not be seen with U/S, however parathyroid adenoma can be sampled
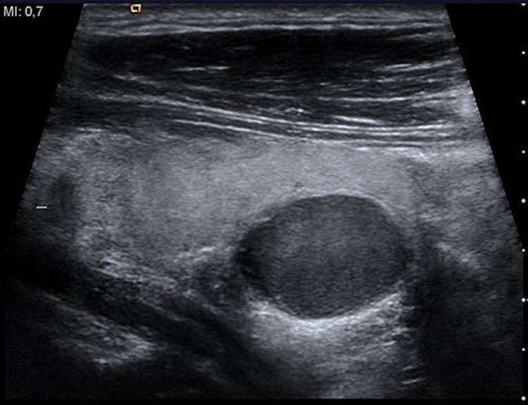
Adenoma:
is a benign lesion . It is well defined and hypo echoic.

Parathyroid carcinoma:
Aggressive lesion irregular hypo echoic. Diagnosis is confirm by biopsy

Parathyroid adenoma.
(a) Transverse ultrasound of a parathyroid adenoma (calipers) seen behind the left lobe of the thyroid gland . The common carotid artery is also demonstrated.
(b) CT of another patient showing an avidly enhancing right parathyroid adenoma.
