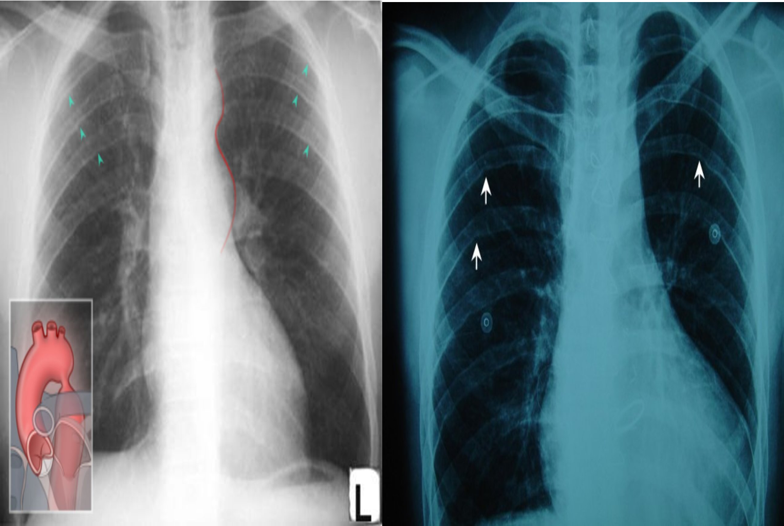
X-ray chest (PA view)
Focal indentation of the distal aortic arch is seen at the location of aortic coarctation (illustration). An additional finding is inferior rib notching (Roesler sign; examples indicated by arrowheads), which is produced by dilated intercostal arteries.
The figure-3 sign of coarctation (indicated by red line) is seen in this patient. It is produced by prestenotic dilatation of the aortic arch and left subclavian artery in combination with post-stenotic dilatation of the descending aorta.
-
There is mild cardiomegaly with a cardiothoracic ratio >50%, and bilateral rib notching is visible on the inferior border of the ribs (white arrows).
-
These features indicate coarctation of the aorta.
