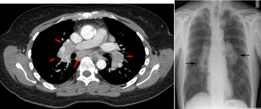
Bilateral enlargement of hilar nodes occurs in: triad
• Sarcoidosis-2 : The diagnosis is almost certain if the hilar enlargement is symmetrical and if the patient is asymptomatic, or has either erythema nodosum or iridocyclitis. Enlargement of the right paratracheal nodes is common. Lung changes are sometimes visible.
• Malignant lymphoma.
• Tuberculosis.


