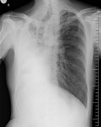
RT. Lung Collapse
The whole hemithorax is opaque. ±Ipsilateral
- There is loss of lung volume.
- Shift of trachea to the to the RT Tracheal_deviation
- Compensatory hyperinflation of left lung
Loss of lung volume do not occur in pneumonic consolidation.

The whole hemithorax is opaque. ±Ipsilateral
Loss of lung volume do not occur in pneumonic consolidation.
