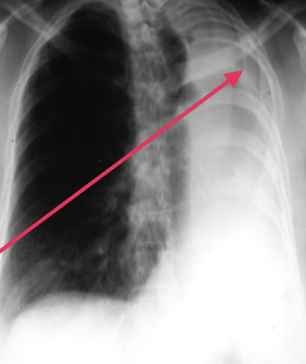
• The left hemithorax is opaque.
  • There is a shift of the heart and trachea toward that side indicating volume loss
  • The left 5th rib has been resected - to perform the operation