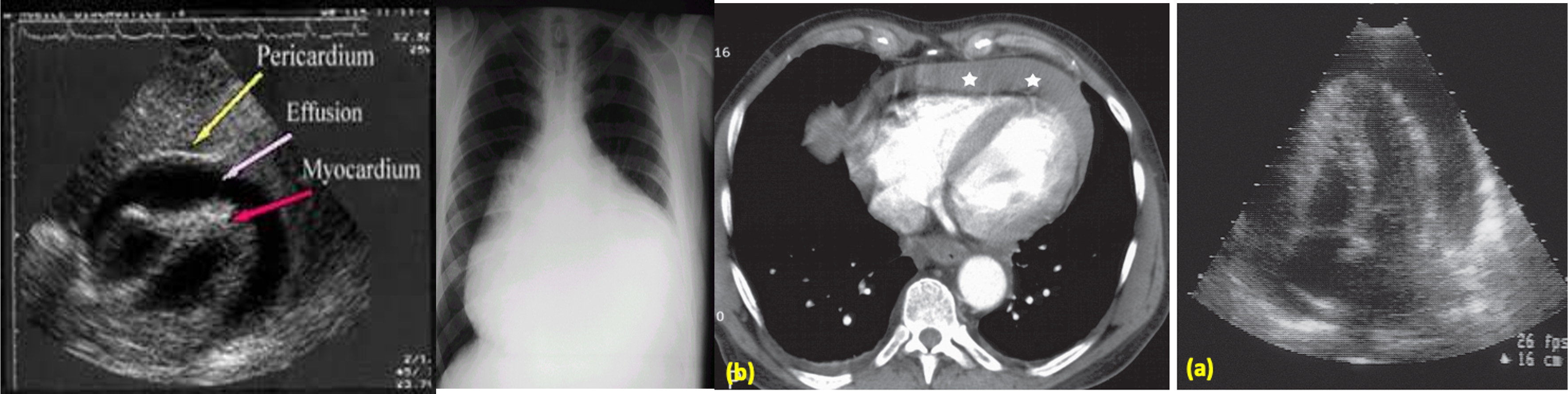
The heart is greatly enlarged. The outline is well defined and the *shape globular. The lungs are normal.
a) Large pericardial effusion on an apical four-chamber view echocardiogram.
b) CT scan showing fluid density (stars) in the pericardium.
The heart is greatly enlarged. The outline is well defined and the *shape globular. The lungs are normal.
a) Large pericardial effusion on an apical four-chamber view echocardiogram.
b) CT scan showing fluid density (stars) in the pericardium.