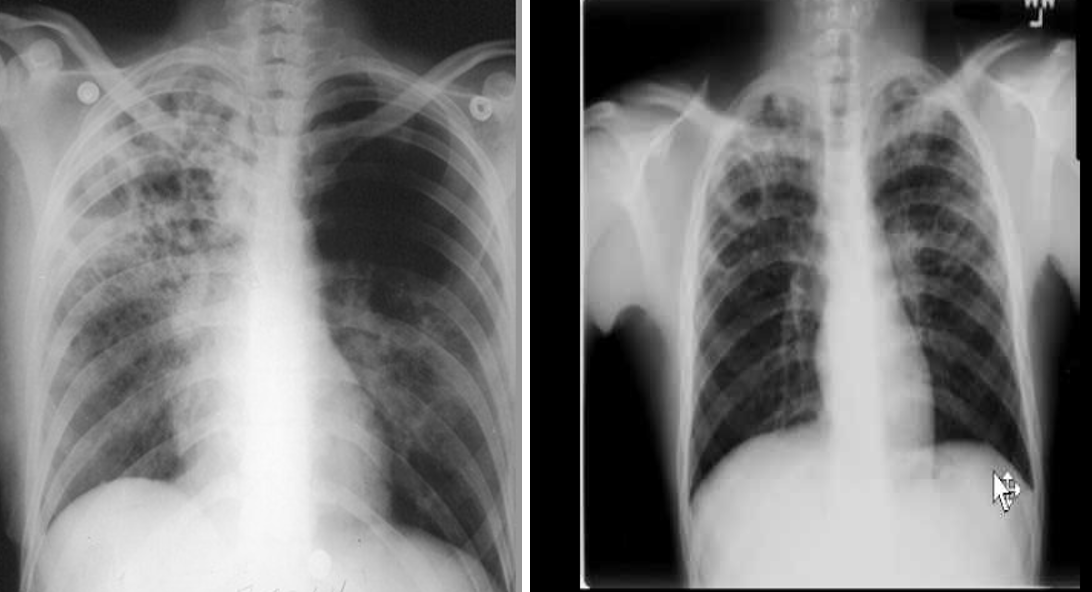
The primary infection is usually asymptomatic although a small number go on to have symptomatic hematological dissemination which may result in miliary tuberculosis. Patients with post-primary pulmonary tuberculosis have chronic dry cough, fever, malaise and weight loss. Productive cough which is often blood stained. Cavity formation in lung is one of the characteristic feature of TB


comparision with Pneumonia
