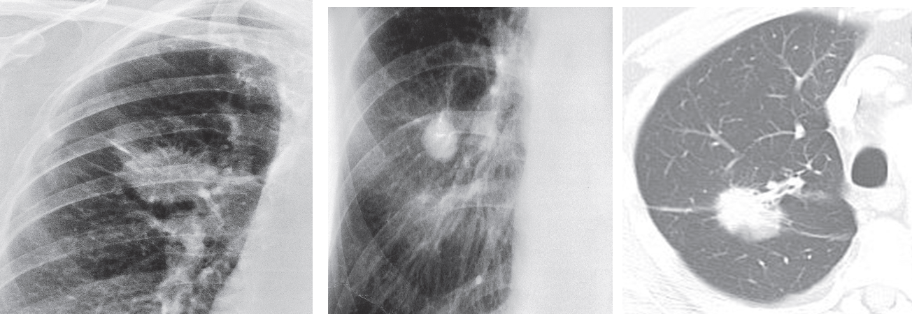
The large size and the irregular infiltrating edge are important diagnostic features suggesting primary carcinoma of the lung. (b) small size & relatively smooth border leads to a wider differential diagnosis. (c) Typical bronchial carcinoma on CT showing an infiltrating edge.

Nodules
Causes of a solitary pulmonary nodule:
• Bronchial carcinoma/bronchial carcinoid. • Benign tumour of the lung, hamartoma being the most common • Infective granuloma, tuberculoma being the most common • Metastasis • Lung abscess • Rarely, spherical (round) pneumonia
Small pulmonary nodules
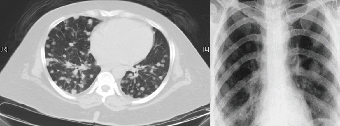
CT chest (axial plane; lung window) of a patient with lung metastases from colon carcinoma *Multiple small, circumscribed nodules of varying sizes can be seen in both lungs.
X-ray chest (PA view) of a patient with lung metastases Multiple pulmonary nodules w/ circumscribed margins can be seen in both lungs*
