Epigastric pain one of the main symptoms -
At barium examination, gastric carcinoma typically produces an irregular filling defect with alteration of the normal mucosal pattern , Computed tomography is the main imaging modality for the preoperative staging of patients with gastric cancer
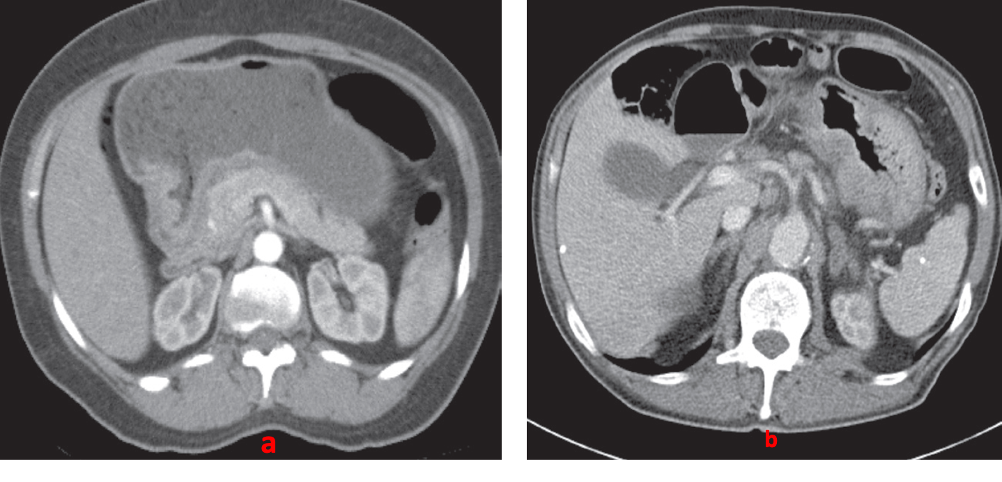
- (A) A focal ulcer is seen arising in the antrum.
- (B) In a different patient, there is diffuse thickening of the wall of the stomach. Several lymph nodes and a liver metastasis are also seen.

Gastric carcinoma on barium study. There are a number of large filling defects in the antrum and body of the stomach.
