SURGE
Gastric lymphoma:
-
The stomach is the most common site of lymphomas in the GI system.
-
15% of gastric malignancies , most commonly occur in the gastric antrum
-
2% of all lymphomas.
-
Patients often present with vague symptoms, namely epigastric pain, early satiety, and fatigue.
-
More than half of patients present with anemia.
-
Massive bleeding is uncommon.
-
Older patients, more common in men.
-
The most common type is diffuse large B-cell lymphoma (55%), Immunodeficiencies and H. pylori infection are risk factors for its development
Burkitt’s lymphomas of the stomach :
- Associated with Epstein-Barr virus infections.
- Very aggressive and tends to affect a younger population
- Most commonly found in the cardia
Diagnosis of gastric lymphoma:
- Endoscopy: Nonspecific gastritis or gastric ulcerations, with mass lesions being unusual.
- CT of the chest and abdomen to detect lymphadenopathy
- Endoscopic ultrasound
- Depth of gastric wall invasion,
- Identify patients at risk for perforation
Treatment of Gastric lymphoma:
- Many patients are now being treated with chemoradiation therapy alone.
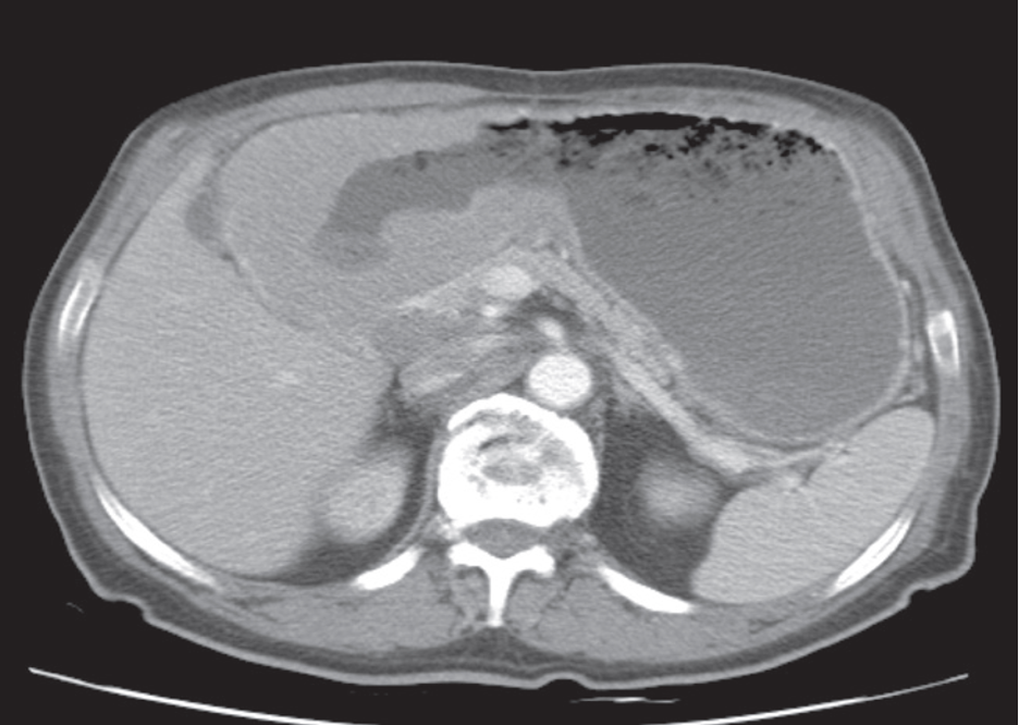
Radiology
Epigastric Pain -
The appearance of primary gastric lymphoma is typically of an extensive area of diffuse thickening of the gastric wall. There may be extensive, bulky lymphadenopathy adjacent to the tumour. The appearance may mimic gastric carcinoma.
Gastric lymphoma in the antrum, demonstrated on CT .
Lymphadenopathy surrounds the inferior vena cava
