Search
❯
Feb 19, 20241 min read
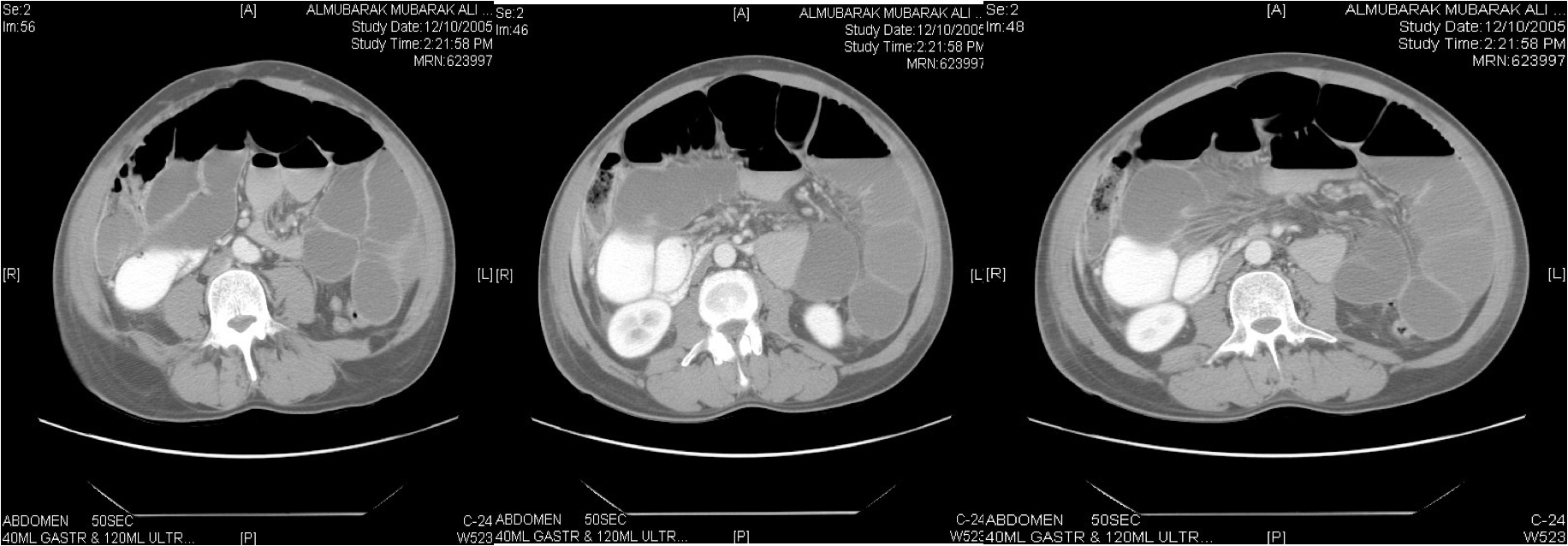
Computed tomography may also show any responsible tumour or inflammatory mass