-
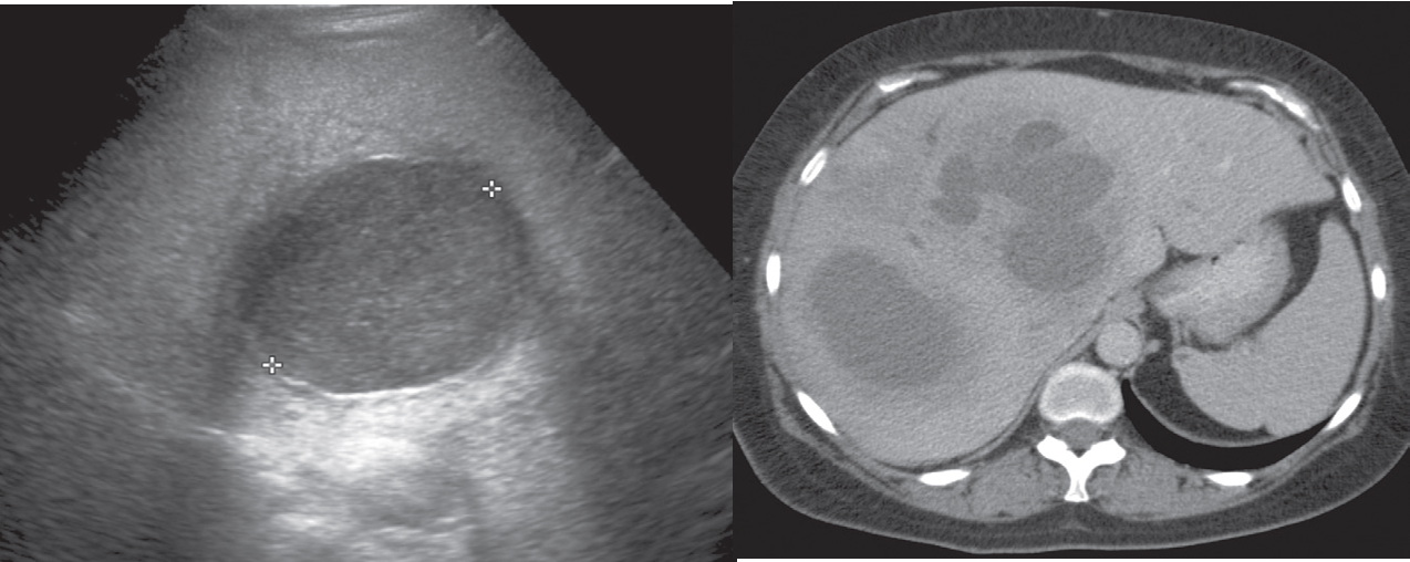
Hepatic abscesses tend to have fluid centres, with walls that are thicker, more irregular and more obvious than those of simple cysts.
-
Occasionally, chronic abscesses calcify.
-
Aspiration and drainage are invariably undertaken in any case of suspected abscess and are *convenie**ntly *performed under ultrasound guidance.
Liver abscess. (a) Ultrasound scan showing an area of mixed echogenicity in the liver. (b) CT in another patient showing multifocal areas of low attenuation.
(cc)
