- Is the presence of free air within the abdomen.
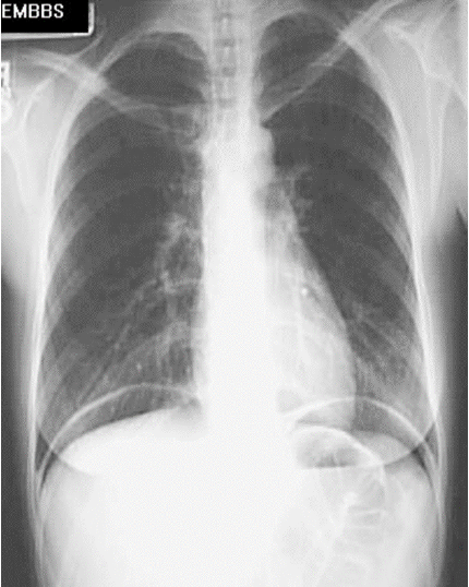
- The best radiograph view to detect pneumoperitoneum is erect chest film. It appears as crescentic area of lucency under diaphragm.
- Lateral decubitus can be used for very ill patient. (! Right/ Left).
- Free air can be best evaluated with CT scan of the abdomen
- can also be found normally in female
Causes:
- Peptic ulcer perforation.
- Post laparotomy/ laparoscopy.
- Colonic diverticulum perforation.

Free gas in the peritoneal cavity:
On this chest radiographs, air can be seen under the domes of both hemidiaphragms.