Gas in a right subphrenic abscess. There are several collections of gas within the abscess. The largest of these contains a fluid level (arrowheads). The air–fluid level under the left hemidiaphragm is normal. It is in the stomach.
- Imaging study?
- Findings ?
- Most likely diagnosis ?
- Clinical presentation ?
58 years old Melena ,anemia and weight loss
Stricture : Barium enema showing a short, circumferential narrowing in the sigmoid colon from a carcinoma.
- Imaging study?
- Findings ?
- Most likely diagnosis ?
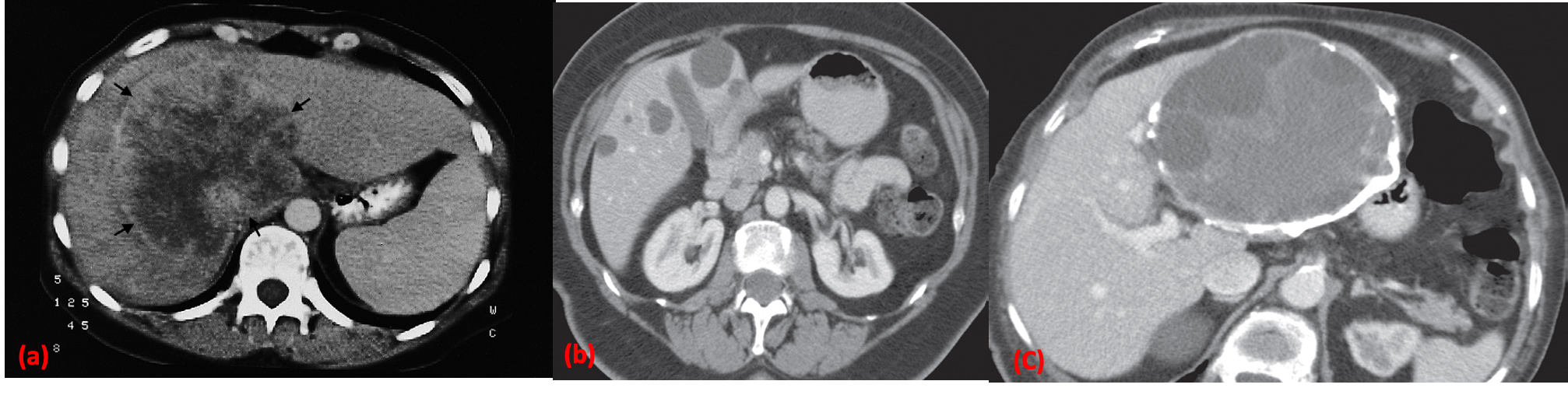
(a) CT scan of hepatoma showing a large mass of variable density (arrows). CT scan of liver cysts.
(b) Simple cysts. CT shows several well-defined, low attenuation lesions of near water density. Note their density is equivalent to the bile in the gall bladder.
(c) Complex cyst. CT scan showing a multilocular hydatid cyst with calcification in its wall.
- Imaging study?
- Findings ?
- Most likely diagnosis ?

- CT image of acute appendicitis