Truama
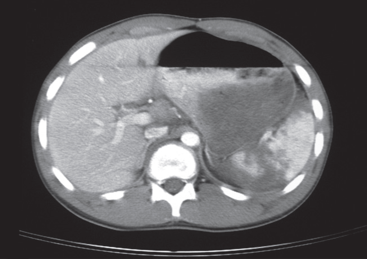
The spleen is the most commonly injured organ in blunt abdominal trauma and lacerations, contusions or ,and rupture may result .
Splenic injury may be detected by ultrasound, but CT is a superior method of investigation it demonstrates the damage to the spleen and intraperitoneal blood and visualize injuries to other abdominal organs.
Rupture
on CT. The spleen is shattered with low density blood adjacent to the fragments.
