🩺 MedAtlax
Search
Search
Dark mode
Light mode
Reader mode
Explorer
Home
❯
Clinical
❯
Level 8
❯
Medical Imaging
❯
Topics
❯
5,6 GI Tract & Biliary System
❯
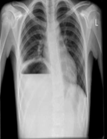
Subphrenic abscess
Subphrenic abscess
Mar 17, 2024
1 min read
fluid level is seen , the diaphragm is elevated with a subphrenic
Graph View
Backlinks
Imaging of GI Tract & Biliary System