A fracture of the 4th or 5th metacarpal neck is called a boxer’s fracture because it is usually caused by a closed fist forcibly coming into contact with a solid surface

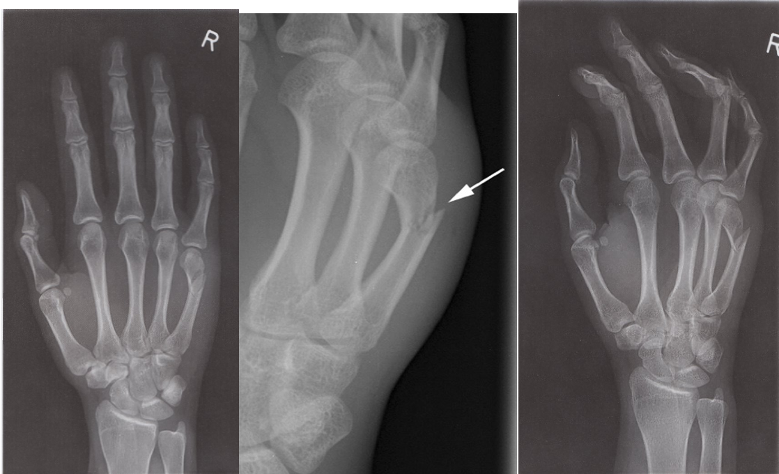
Fracture of the fifth metacarpal - X-ray right hand (PA view) & Fracture of the fifth metacarpal -X-ray right hand (oblique view) An acute oblique fracture of the fifth metacarpal neck.


Fracture of the neck of the humerus (black arrows) is a common fracture in the elderly and may be overlooked clinically if it is impacted. The greater tuberosity is also fractured (white arrow) in this example.


Anterior dislocation of the shoulder. - Fracture of the clavicle The head of the humerus is displaced inferior and anterior to the glenoid fossa to lie beneath the coracoid process.

with  upward displacement of the medial fragment is frequently seen, as in this example. in second image


A. Posterior dislocation of the shoulder is often a consequence of an electric shock or epileptic seizure. z Note the internal rotation of the humerus and lack of congruity of the humeral head with the glenoid. Note the ‘lightbulbappearance of the humeral head.

four e’s elderly, electrical, epilepsy, ethanol

z B. Acromioclavicular dislocation; Capsular and ligamentous tears of the acromioclavicular ligaments allow the outer end of the clavicle to be displaced upward relative to the medial aspect of the acromion process (arrow).