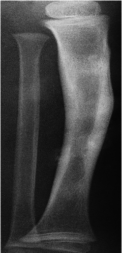
It may be thick and irregular but shows the same homogeneous density as does the normal cortex. The causes include chronic Osteomyelitis & healed trauma.
Cortical thickening
in the midshaft of the tibia from old, healed Osteomyelitis
It may be thick and irregular but shows the same homogeneous density as does the normal cortex. The causes include chronic Osteomyelitis & healed trauma.
Cortical thickening
in the midshaft of the tibia from old, healed Osteomyelitis