Bone expansion with an intact, well-formed cortex usually indicates a slow growing lesion such as an enchondroma or fibrous dysplasia.
Expansion of the cortex due to fibrous dysplasia.
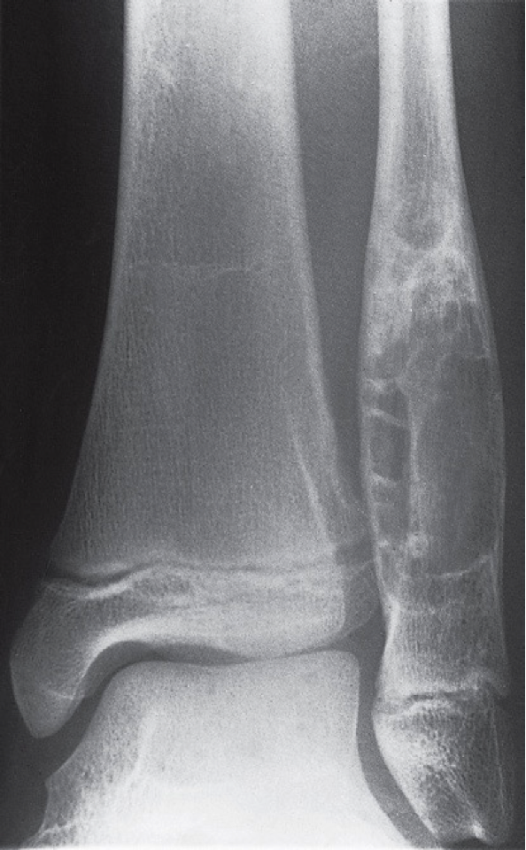
Bone expansion with an intact, well-formed cortex usually indicates a slow growing lesion such as an enchondroma or fibrous dysplasia.
Expansion of the cortex due to fibrous dysplasia.