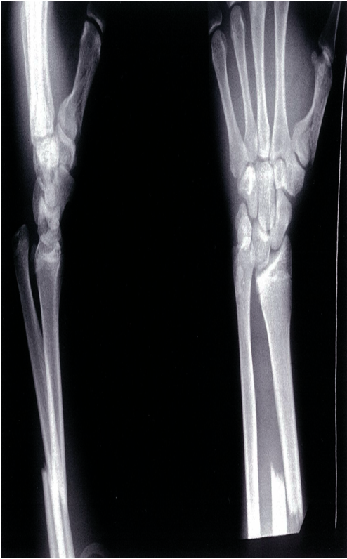
• Radial shaft fracture with disruption of the distal radioulnar joint
  • More common in children
  • Etiology: fall on outstretched and pronated forearm

Clinical features 

  • Pain and deformity at the distal radius
  • Limited range of motion at the wrist
  • Palpable displacement of the ulnar head

Diagnostics: x-ray

Shows a fracture at the mid to distal radial shaft, with subluxation or dislocation of the distal radioulnar joint (DRUJ)

Galeazzi fracture and fracture of the first metacarpal bone X-ray of the distal lower arm (left, lateral view; right, PA view) A distal third radius fracture and distal ulnar head dislocation can be seen; this fracture pattern is referred to as a Galeazzi fracture. Fracture of the first metacarpal bone