• Erosions. Malalignment.

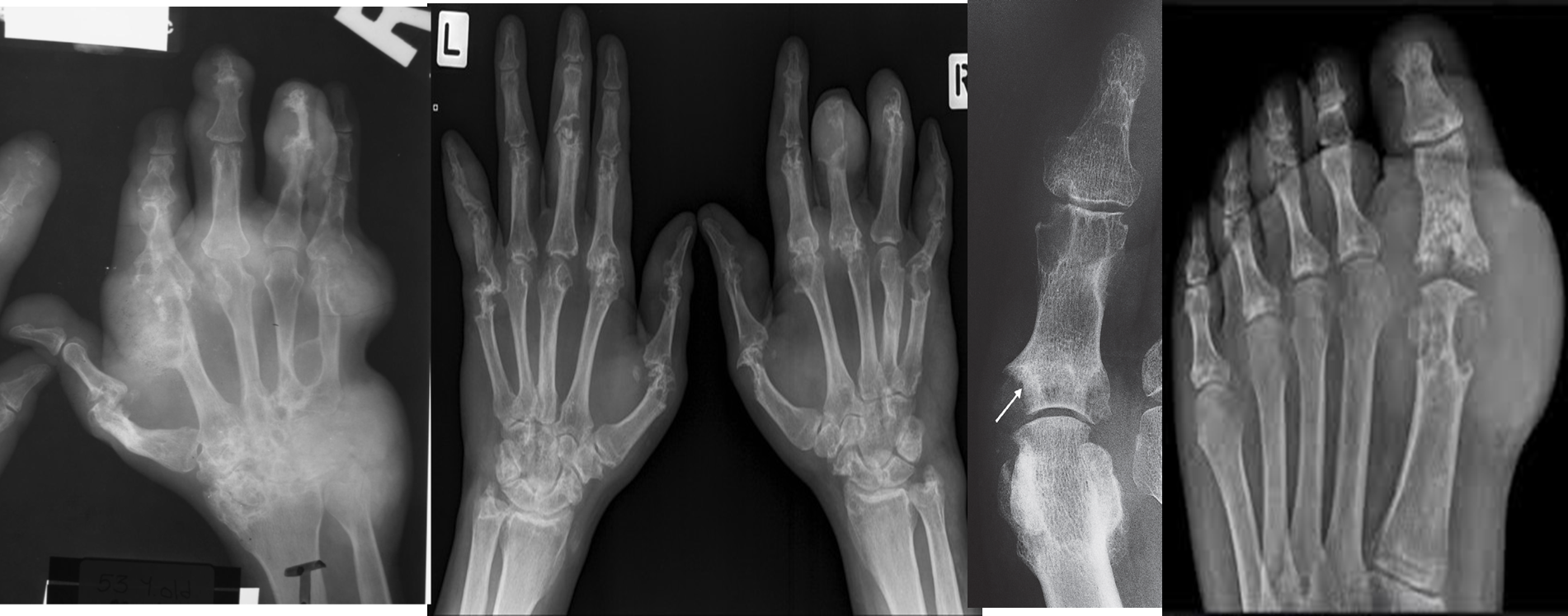
  • Around the erosion there is a swelling “ Rounded soft tissue enlargement” TOPHUS

  • The earliest change is soft tissue swelling. At a later stage, erosions occur that, unlike rheumatoid arthritis. These erosions have a well-defined, often sclerotic, edge and frequently have overhanging edges Gout characteristically involves the metatarsophalangeal joint of the big toe.

Erosion: there is a typical well-defined erosion with an overhanging