Idiopathic avascular necrosis (Perthes disease) of the growing femoral epiphysis.
It occur in children and more common in boys of 4-8 years. It can be unilateral or bilateral. It present with pain ,with or without limping
Plain radiograph:
- There is initial minor osteopenia, followed by sclerosis and rim calcification. Gradually microfractures leading to the collapse of the articular surface.
-20240312222223436.webp)
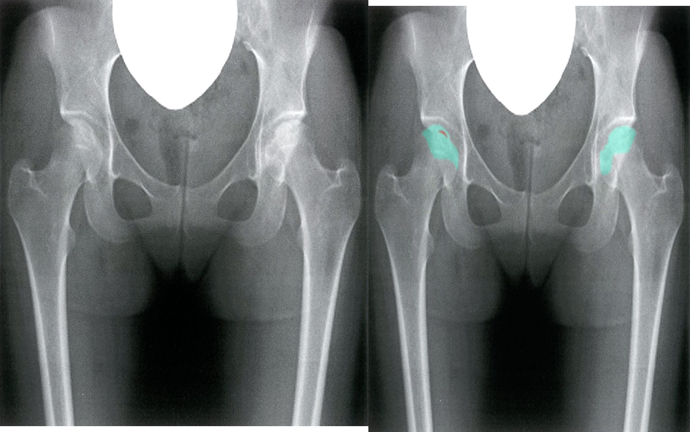
Bilateral femoral head avascular necrosis
X-ray pelvis (anteroposterior view) Increased density of the femoral heads (green overlay) is accompanied by articular surface irregularity and subchondral lucency (crescent sign; red line overlay).
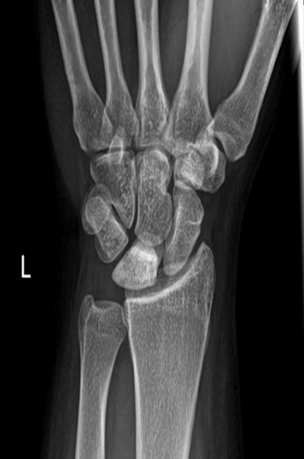
Plain x-ray of Avascular necrosis of lunate