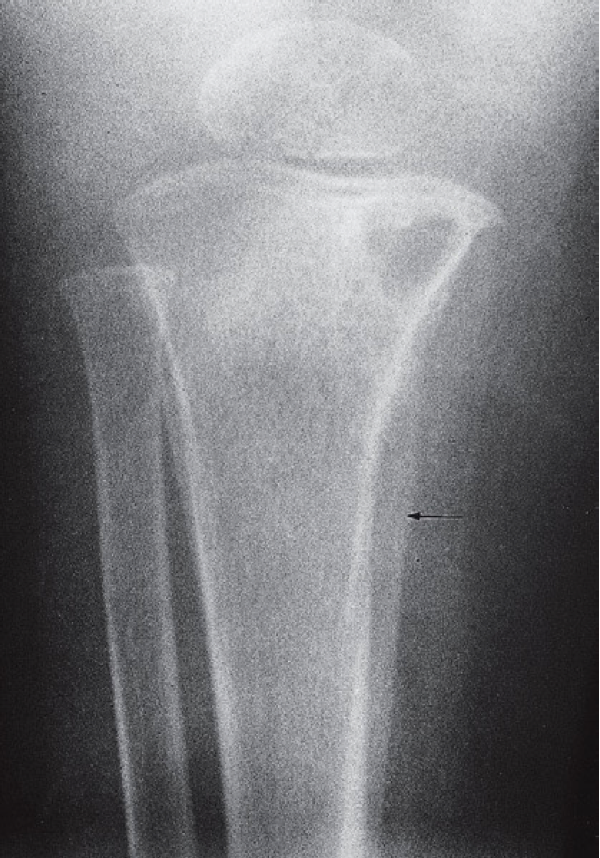
Refers to excess bone produced by the periosteum, which occurs in response to such conditions as neoplasm, inflammation or trauma.
- At the edge of a very active periosteal reaction there may be a cuff of new bone known as a Codman’s triangle.
- Often seen in highly malignant primary bone tumours, e.g. osteosarcoma
Smooth lamellar, Spiculated (Sunray) Onion skin, Codman’s Triangle Z

-
The presence of an active periosteal reaction in the absence of trauma usually indicates an aggressive lesion .
-
A traumatic fracture causes periosteal reaction but there is no underlying bone destruction.
Periosteal reaction (arrow) in this case osteomyelitis