These fractures occur in children.
Are potentially dangerous because of possible injury to the brachial artery and nerve damage.
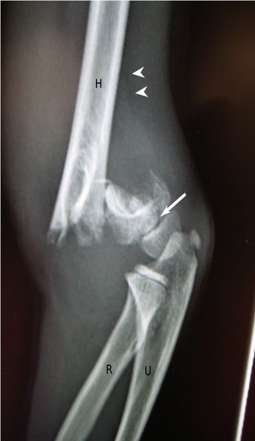
Extension-type supracondylar humeral fracture X-ray elbow (lateral view) of a child with a history of recent trauma
A comminuted supracondylar fracture of the distal humerus shows posterior displacement of the distal fragment and growth plate involvement (white arrow).
Joint effusion is present, with elevation of the lucent posterior fat pad (white arrowheads).
H: humerus; R: radius; U: ulna

